Case Study

Full Mouth Ceramic Restoration

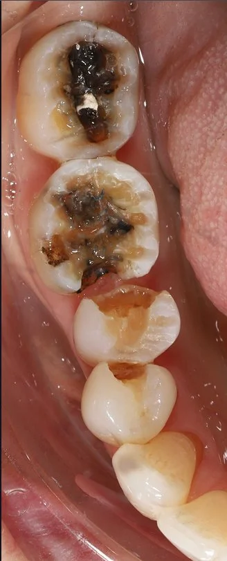
Initial condition
Step 1: Old fillings with decay
Step 2: Old dentistry removed
Step 3: Decay removed
Step 4: Core buildups
Step 5: Preparations
Step 6: Provisionals
Step 7: Final result
Tooth Restoration

Initial Condition

The starting point before any restorative work begins.

0
1
2
3
4
5
6
7
Full size view
1 / 8