Transformations

A patient's teeth with old, failing dentistry. Prior to restoring.

Before: Old dentistry that doesn’t fit, decay, acid erosion

A patient's teeth after restoring with bonded porcelain and gold restorations.

After: Bonded porcelain and gold restorations to restore what was lost

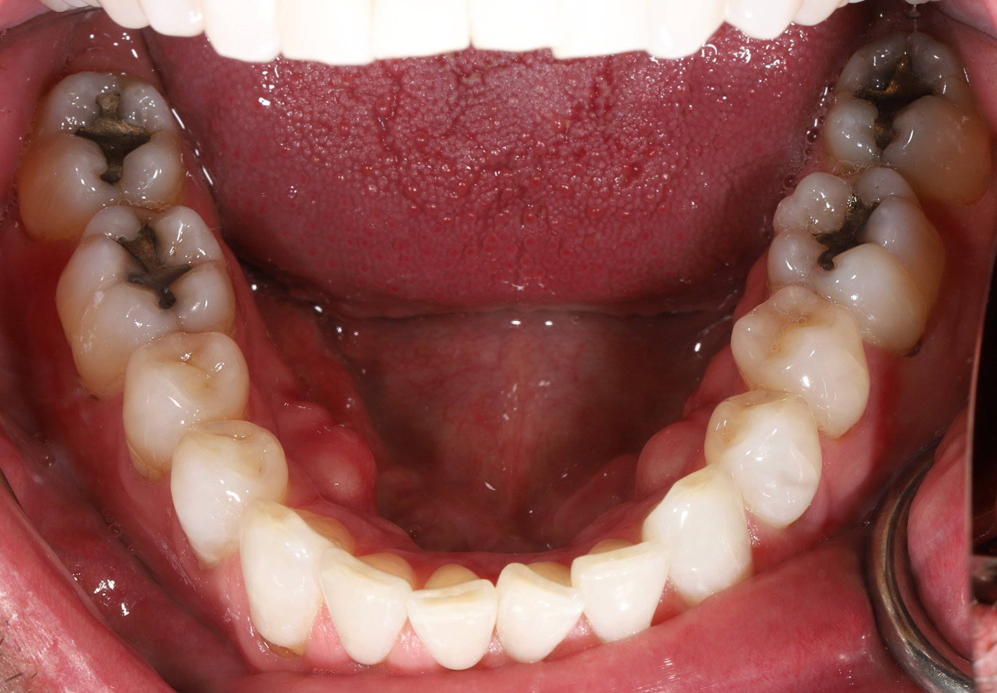
Teeth prior to restoring.  There are missing crowns, acid erosion, wear and decay.

Before: Missing crowns, acid wear

Teeth after restoring with bonded porcelain and gold, building back optimal aesthetics and function.

After: Proper fitting dentistry leads to healthy gum tissue

Close-up view of patient's teeth showing wear, acid erosion, misalignment and black triangles.

Before: Acid erosion, wear, bite issues, poor aesethetics

Close-up of a person's upper and lower teeth showing restored smile with proper aesthetics and tooth proportions.

After: Proper aesthetics, gum health, bite reconfigured

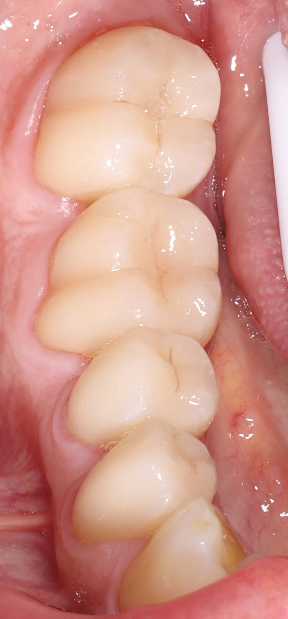
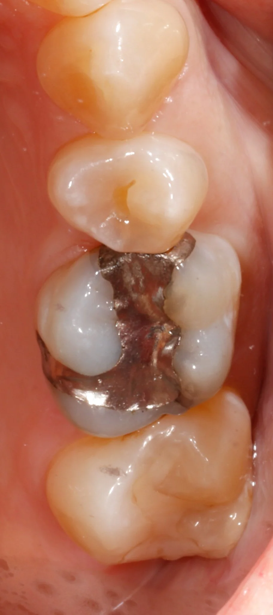
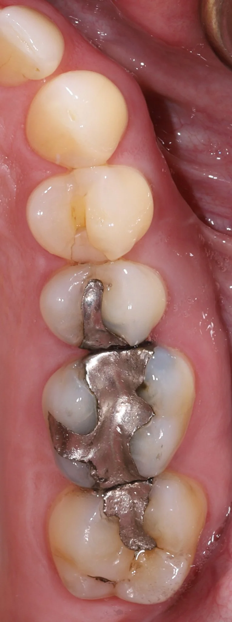
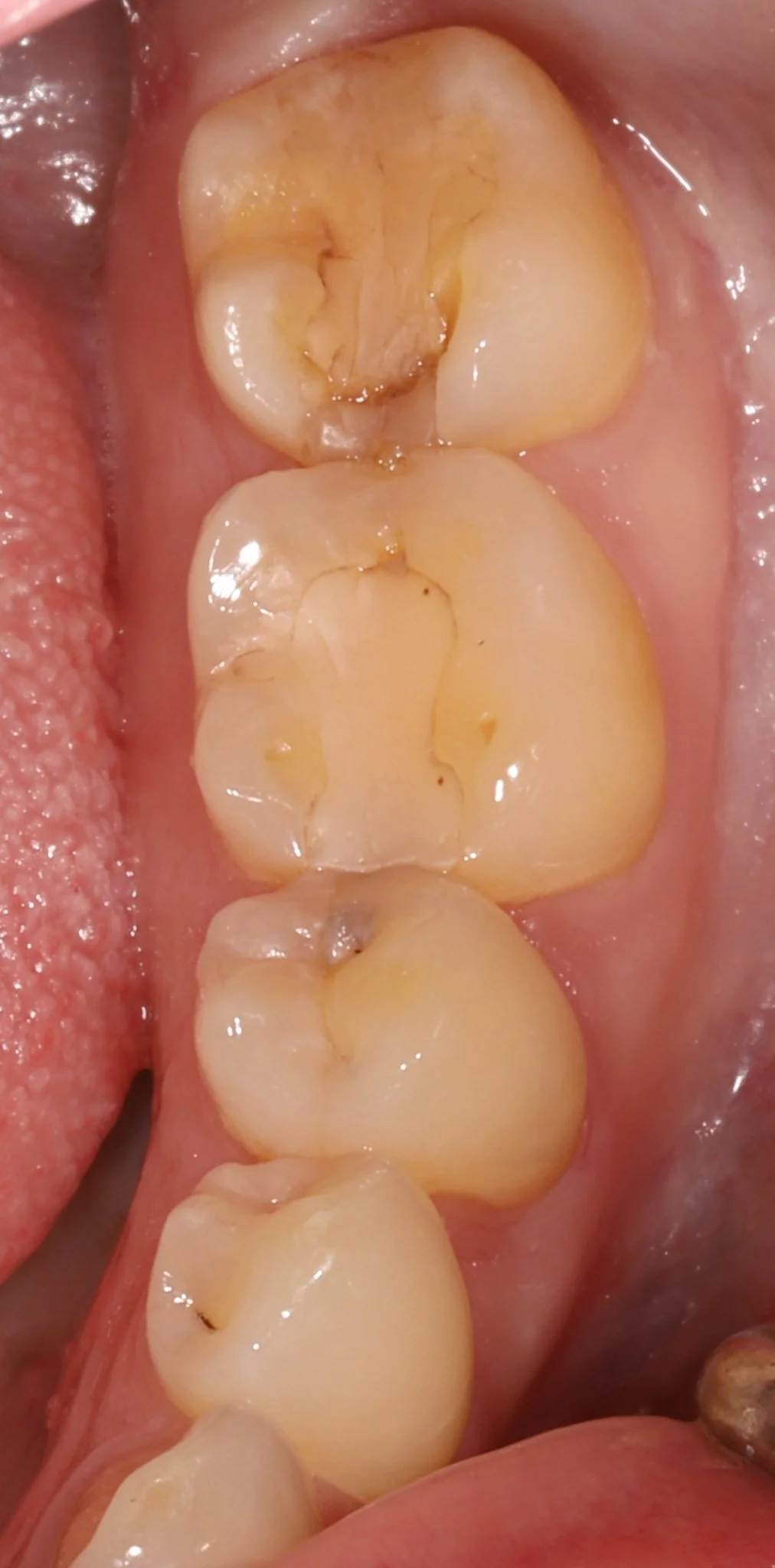
Close-up view of upper molars in a person's mouth showing dental fillings, decay and broken crowns.
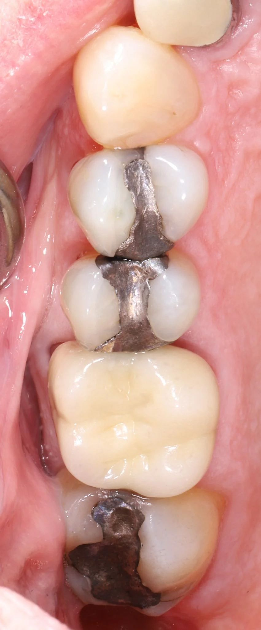
Close-up view of molar teeth in a person's mouth showing restorations with bonded porcelain with ideal fit and appearance.

Before: Decay, cracked teeth, worn teeth, poor fit

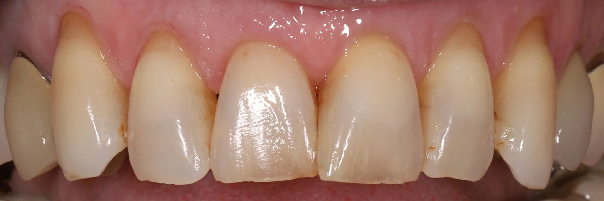
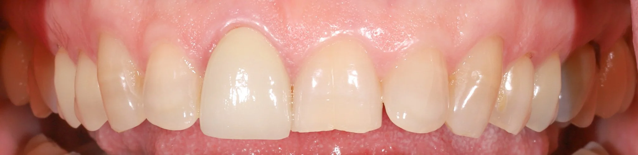
Close-up image of upper front teeth showing mismatched crowns, chipped and worn teeth with acid erosion.

After: Everything fits, blends and is sealed for strength and longevity

Before: Heavy acid erosion, wear, poor aesthetics

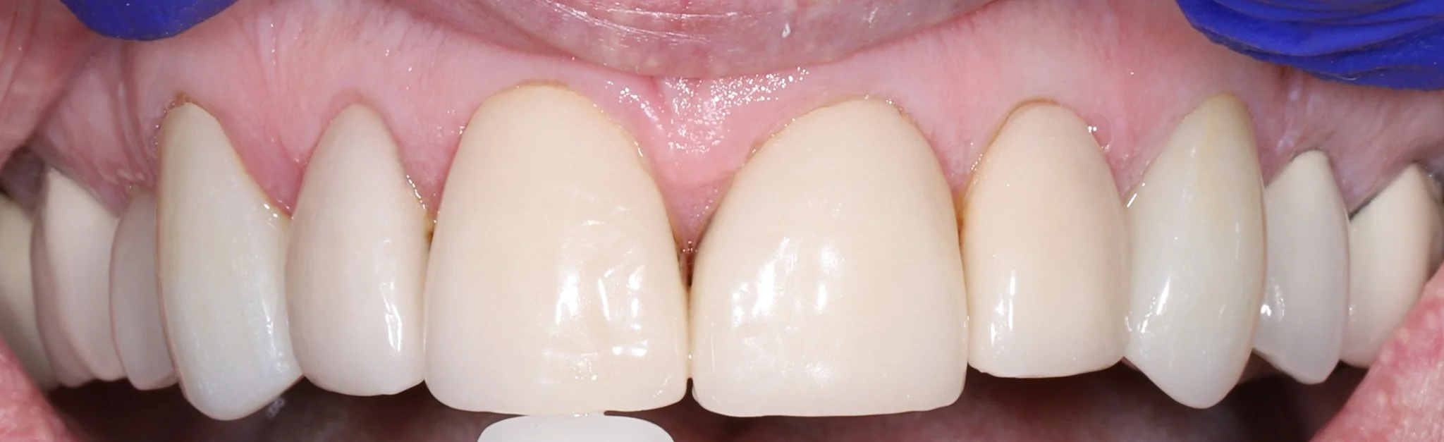
Close-up of a person's upper front teeth, showing straight, white teeth with healthy gums with ideal aesthetics.  These teeth were restored with porcelain crowns.

After: Protected teeth with proper aesthetics and function

Close-up of molar teeth with signs of decay, leakage and cracks. Prior to restorative treatment.

Before: Leaking fillings, decay, cracked teeth

Close-up of molar teeth after restorations with bonded porcelain crowns showing optimal dental health.

After: New teeth blend seamlessly

Close-up of a person's molar teeth with leakage, cracks and decay.  Prior to restorative treatment.

Before: Large silver fillings with leakage and cracks

Close-up of a person's molar teeth restored with gold and composite resin.

After: Gold partial coverage restoration to protect from further fracture

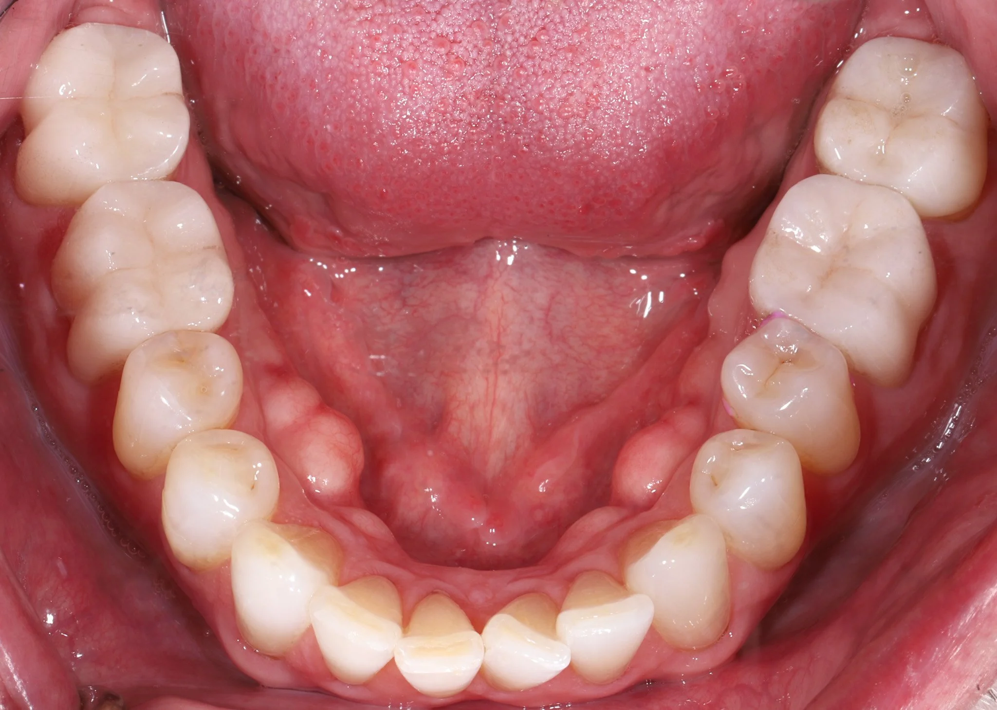
Close-up of the lower teeth showing decay and acid erosion.  Prior to restorative treatment.

Before: Back 2 teeth each side have decay, acid erosion, wear

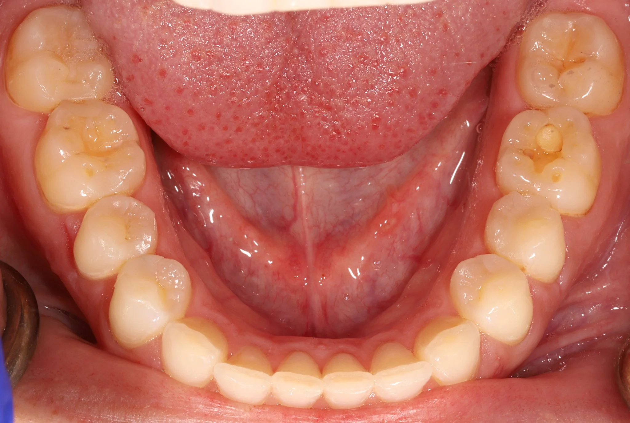
Close-up of the restored teeth with bonded porcelain crowns that fit and blend with natural dentition.
Close-up of front teeth showing uneven gum heights, old crowns and fillings that do not blend properly.  Prior to restorative treatment.

After: Bonded porcelain restorations to seal and protect teeth while adding back missing structure

Before: uneven gum heights, crown that doesn’t match, white filling that is breaking down

Close-up of upper front teeth front teeth after evening the gum heights and restoring with porcelain crowns to match person's natural teeth.

After: even gingival heights, natural porcelain crowns that blend with natural teeth

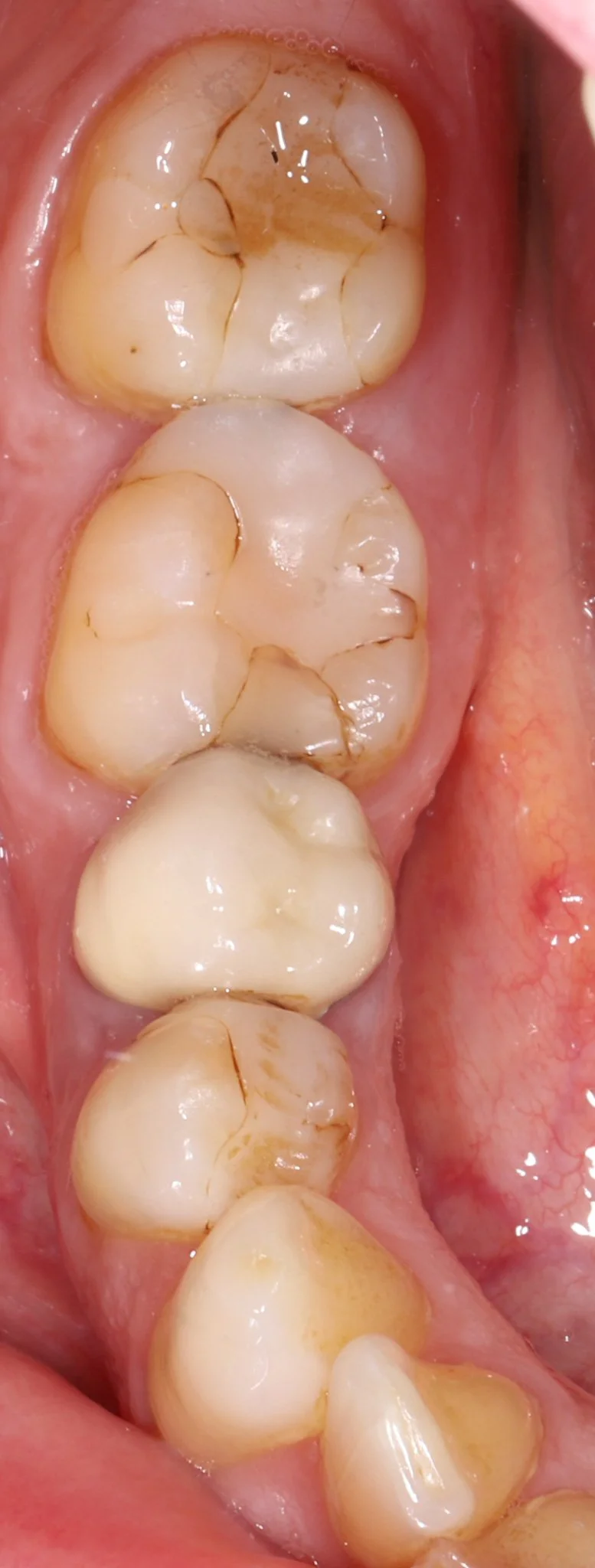
Close-up image of the upper molars in a person's mouth, with visible dental restorations, including a metal filling on the molar furthest back on the right and signs of dental wear or decay on the other teeth.

Before: Cracked teeth, leaking fillings, decay

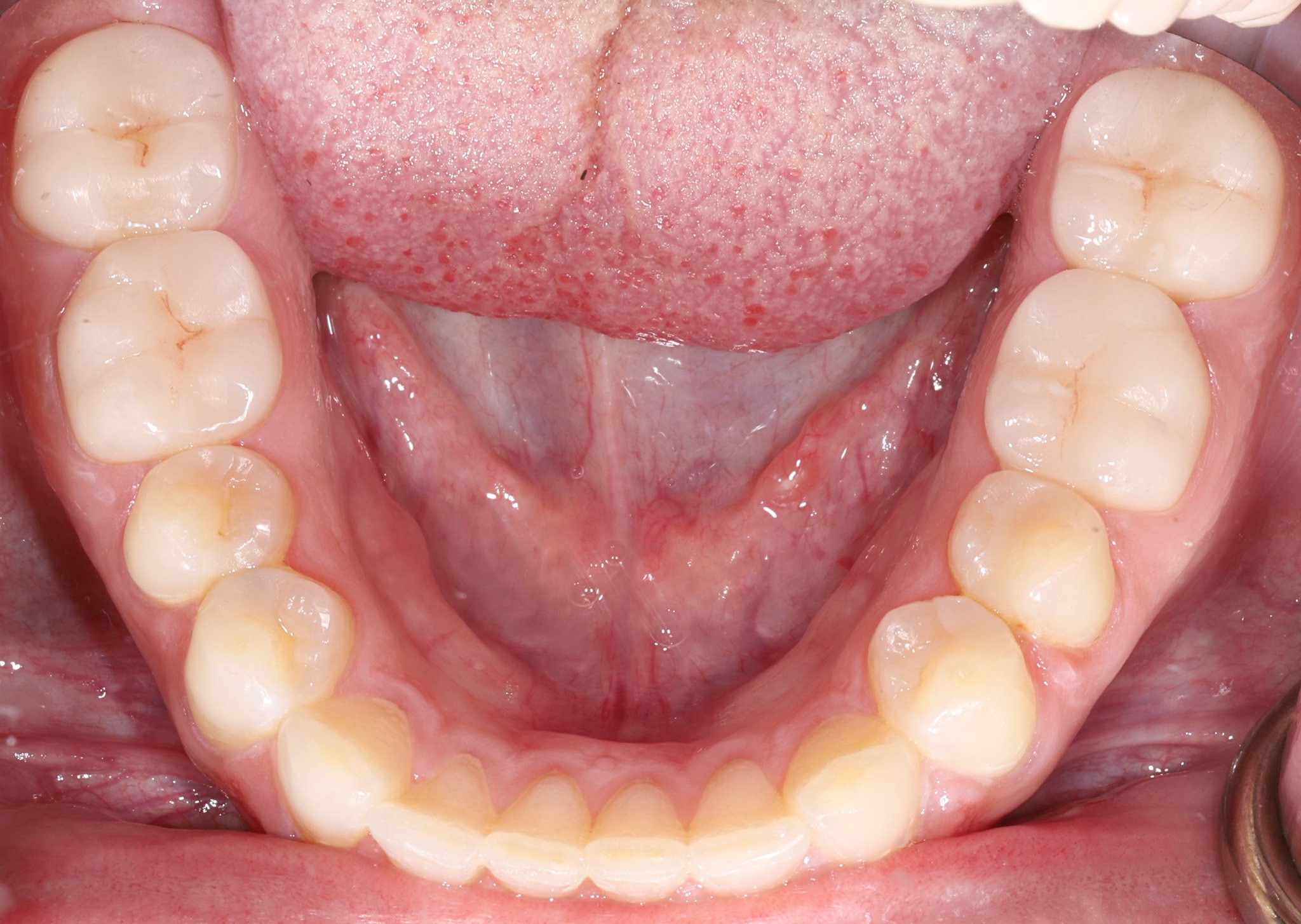
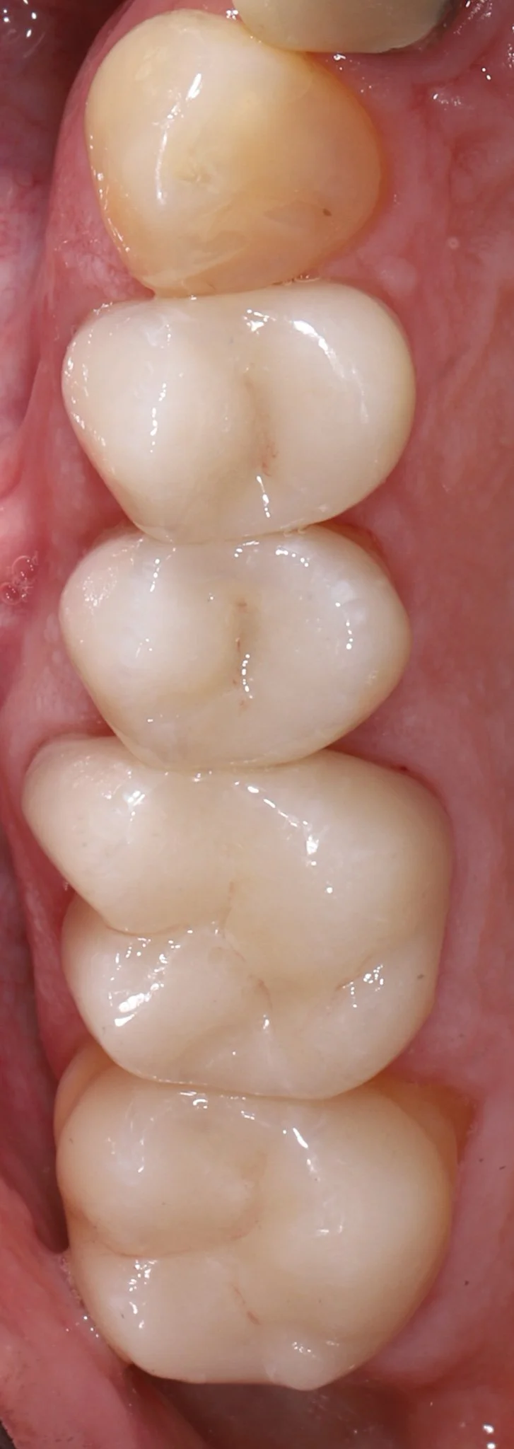
Close-up of four back molars in a person's mouth, showing clean, healthy, light-colored teeth.
Close-up of misaligned upper front teeth with plaque and tartar buildup near the gum line.

After: Bonded porcelain to seal and protect teeth

Before: Wear, old fillings, recession

Close-up of a person's upper front teeth, showing dental veneers or crowns.

After: Revamped smile to achieve her goals

Inside of a person's mouth showing upper teeth, some with dental fillings, and healthy gums.

Before: Cracked teeth, leaking fillings, decay

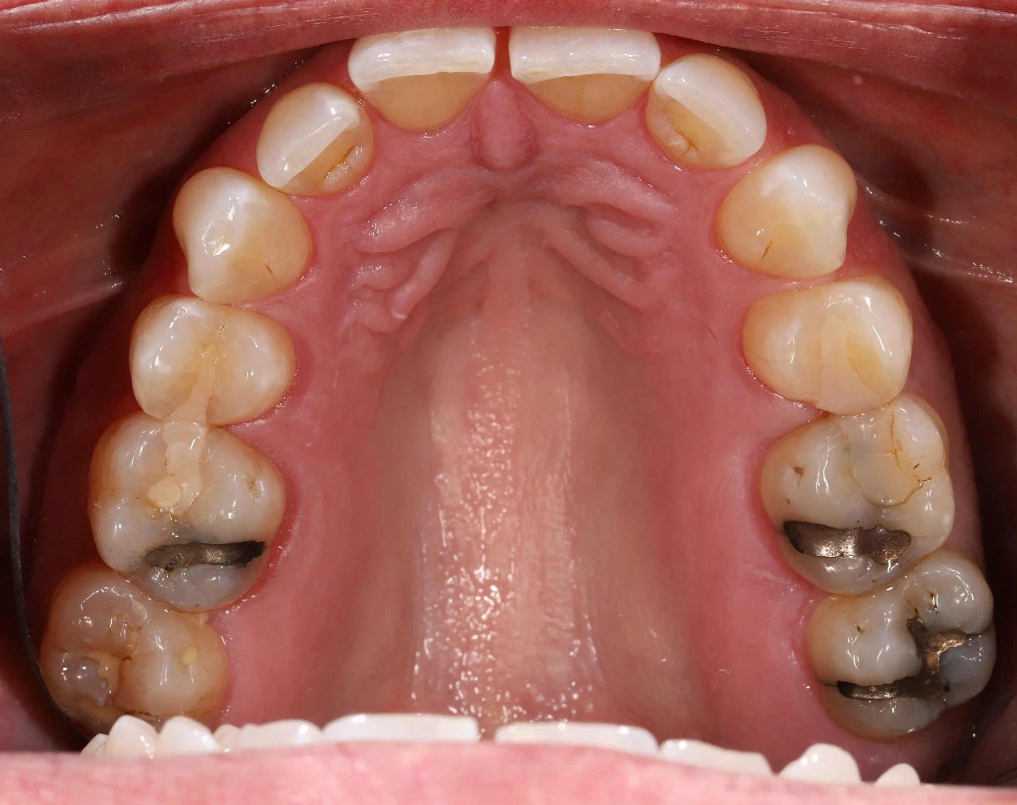
Close-up of the upper teeth and roof of mouth, showing some dental decay on molars, in a person's mouth.

After: Sealed and protected teeth that blend with natural contours

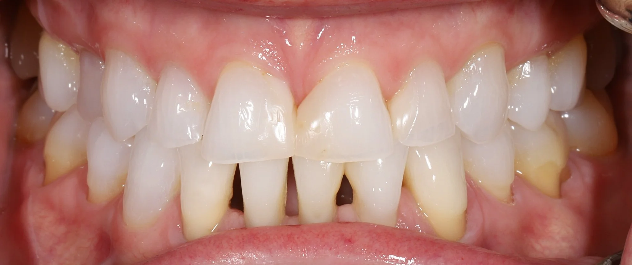
Close-up of a person's upper front teeth, showing slight misalignment and a small gap between the two front teeth.

Before: White filling that doesn’t match in shape and color

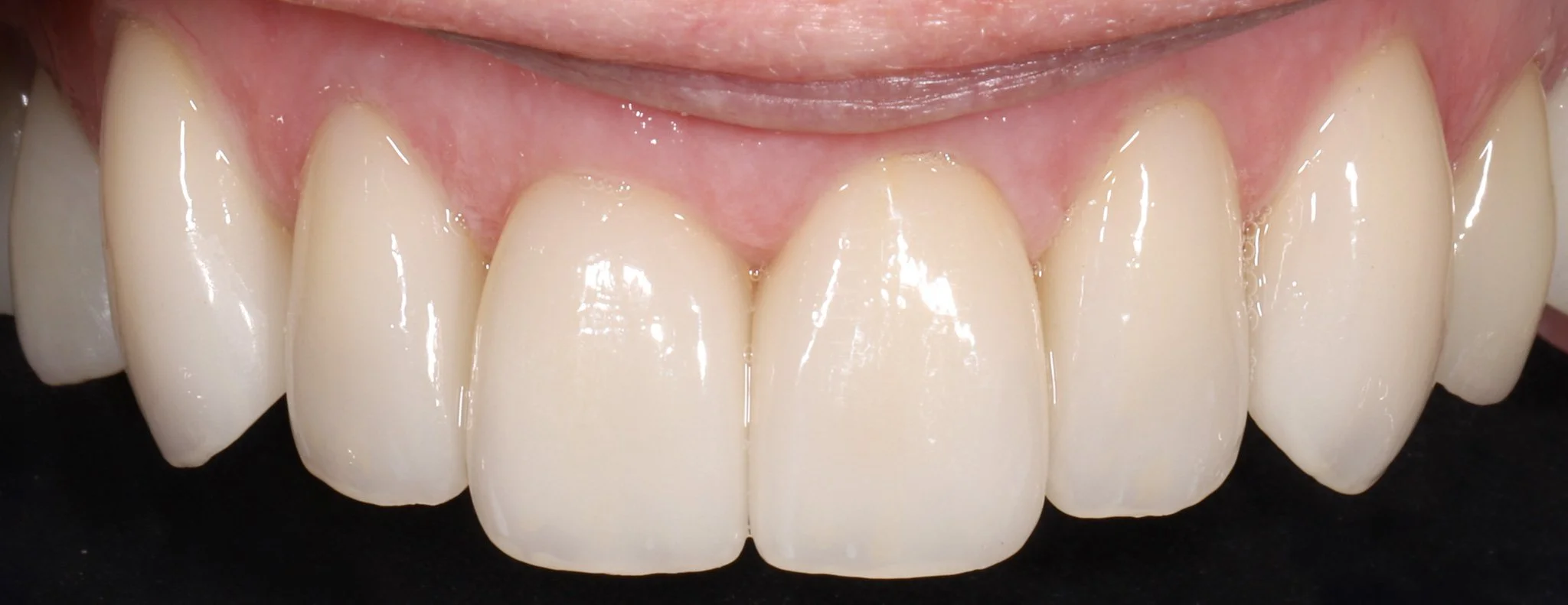
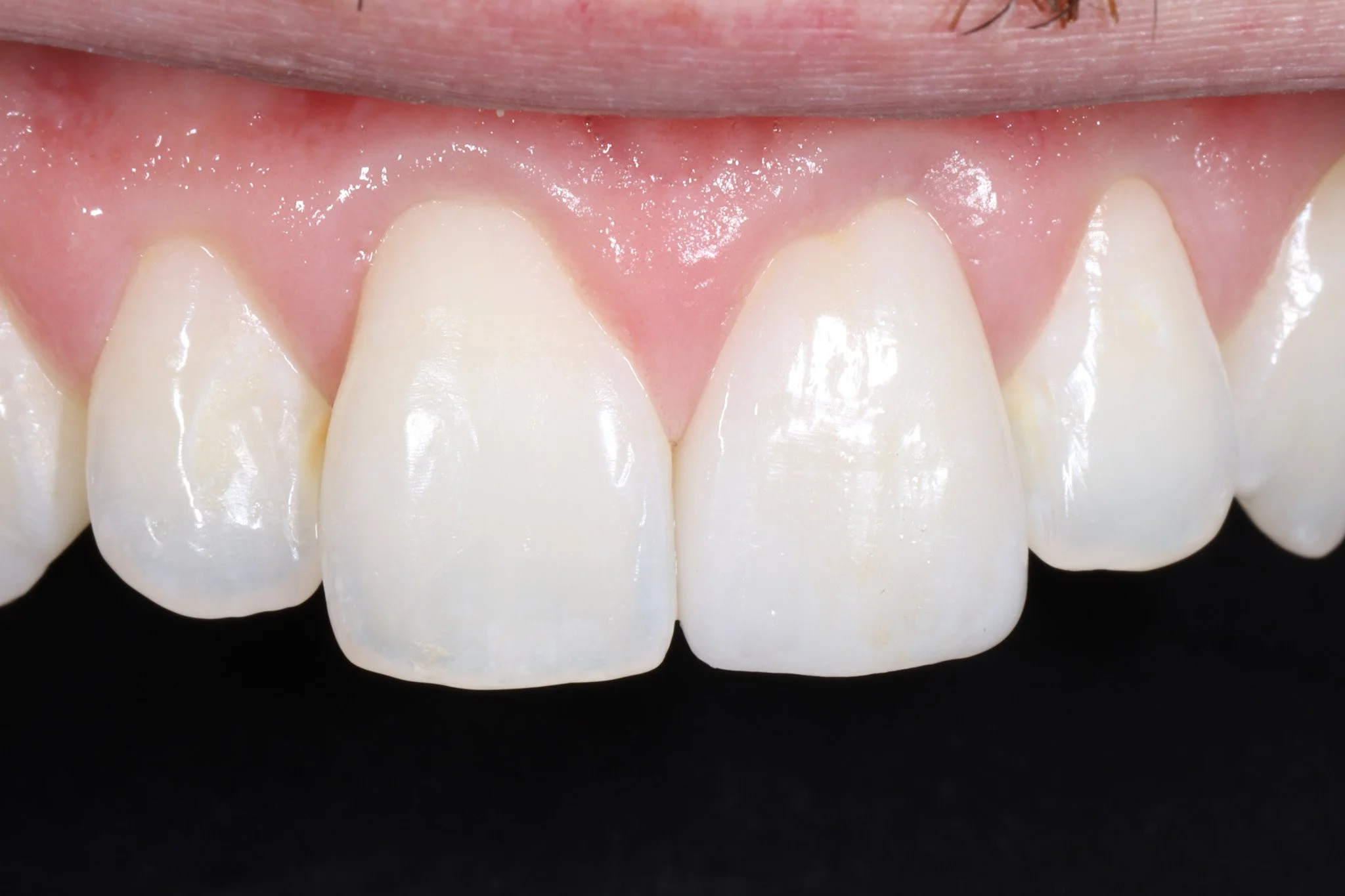
Close-up of upper front teeth and gums with natural appearance.

After: Bonded porcelain restoration that blends seamlessly and protects underlying tooth structure

Close-up of teeth showing dental amalgam fillings on molars.

Before: Decay, leakage, old fillings, cracked teeth

Close-up of the lower molars in a person's mouth, showing the teeth's biting surfaces with natural grooves, some slight staining, and gum tissue surrounding the teeth.

After: Bonded porcelain that seals and protects underlying tooth structure

Open mouth displaying upper and lower molars with multiple cavities and decay.

Before: Silver fillings, leakage, cracks, decay

Open mouth showing upper and lower teeth with healthy gums and tongue

After: Combination of bonded porcelain and composite to restore teeth

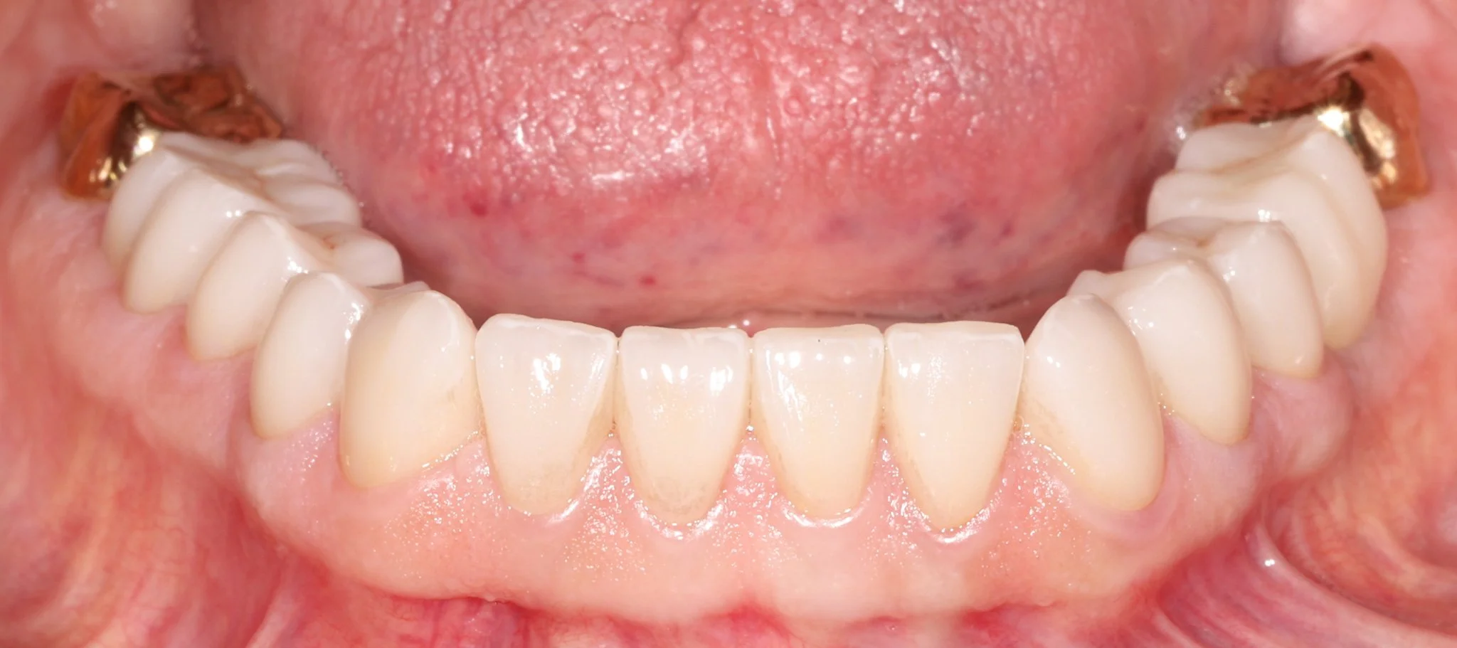
Close-up of the lower molars in a person's mouth, showing a gold dental filling on the bottom molar and the other teeth are natural and clean.
Close-up of a person's upper front teeth showing dental restorations or crowns on the central incisors and lateral incisors.

Gold Restoration

Before: Bulky veneers with leakage from poor fit

Close-up of a person's upper front teeth, showing healthy, white teeth with pink gums.

After: New restorations that fit and appear natural in smille

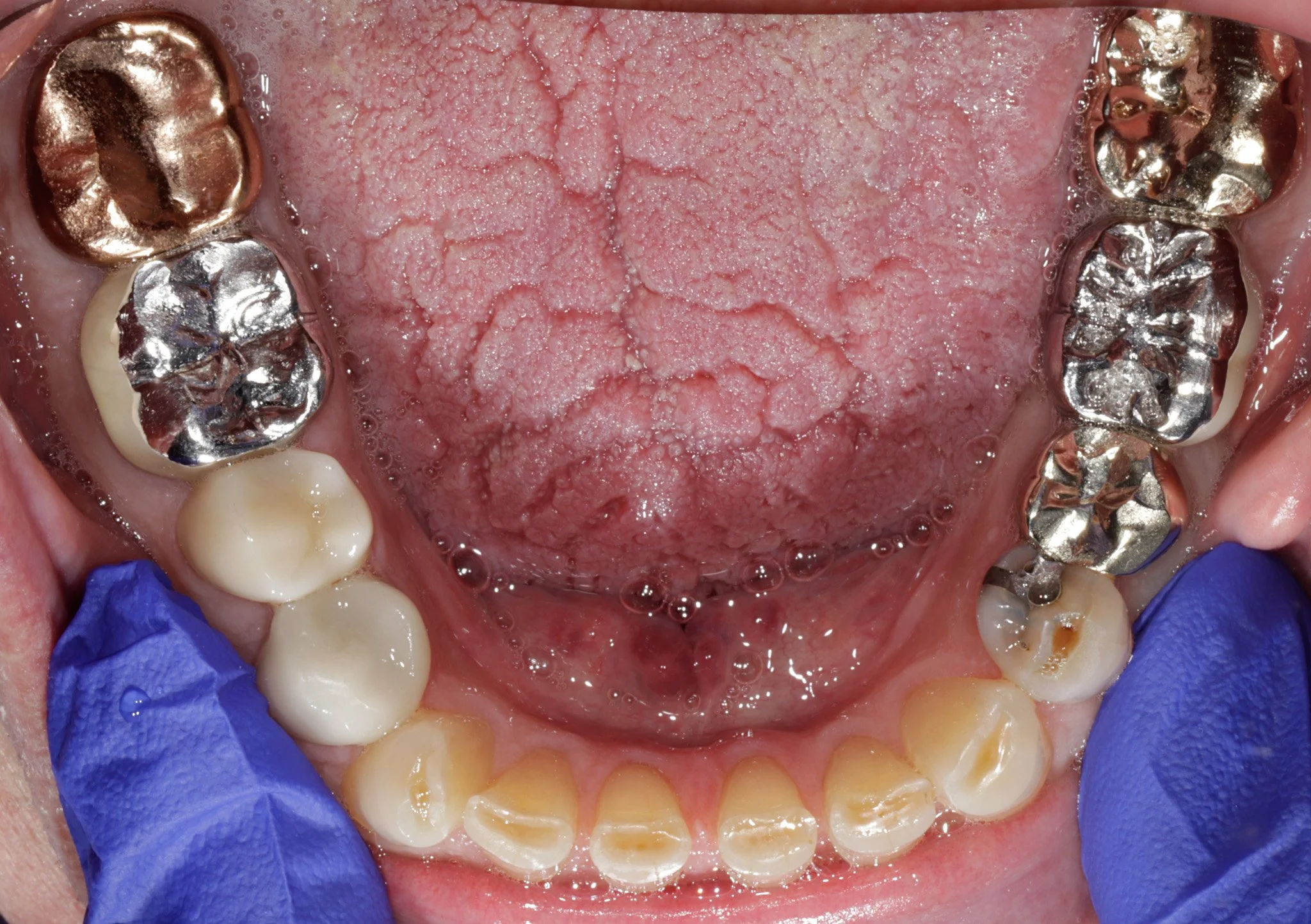
Close-up of lower molars with gold dental crowns and fillings.

Combination of gold inlay, onlay and a bonded porcelain restoration

Close-up of human molars and premolars with visible signs of staining and early decay in the back teeth.

Before: Decay, food traps, leaking old dentistry, nothing fits or blends in

Close-up of four white molar teeth inside a person's mouth.

After: Proper fit, gum tissue health, natural restorations

Close-up of human teeth with dental amalgam fillings in the molars.

Before: Poor-fitting dentistry, leakage, decay

Close-up view of molar teeth in the lower jaw with visible gum tissue.

After: Restorations that fit and blend with proper seal

Close-up of human teeth, showing one tooth with a dark cavity and gold filling, and surrounding teeth with healthy enamel

Gold Onlay

Gold Inlay on a molar

Gold Inlay