Our Services

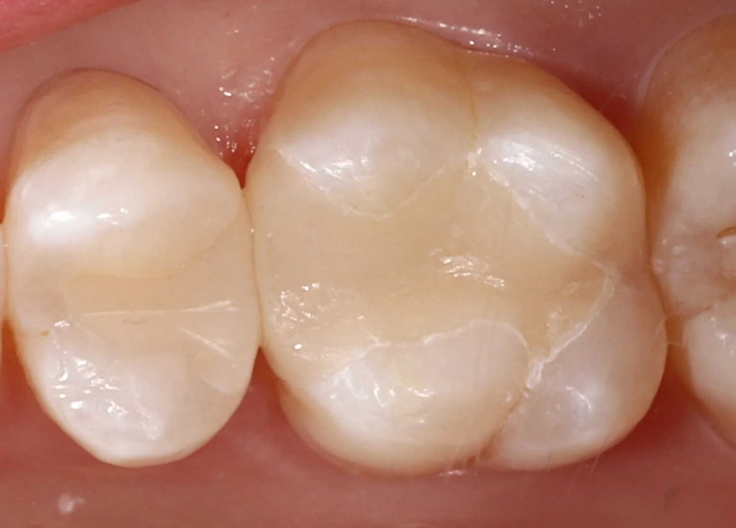
Inlays

Inlays are an alternative to composite fillings. What is different is that they are fabricated indirectly which allows for much more accuracy in fit. This is also considered a bonded porcelain restoration. This can be done in gold or porcelain.

Tap to view before/after.
Hover left/right for comparison.
Before
After