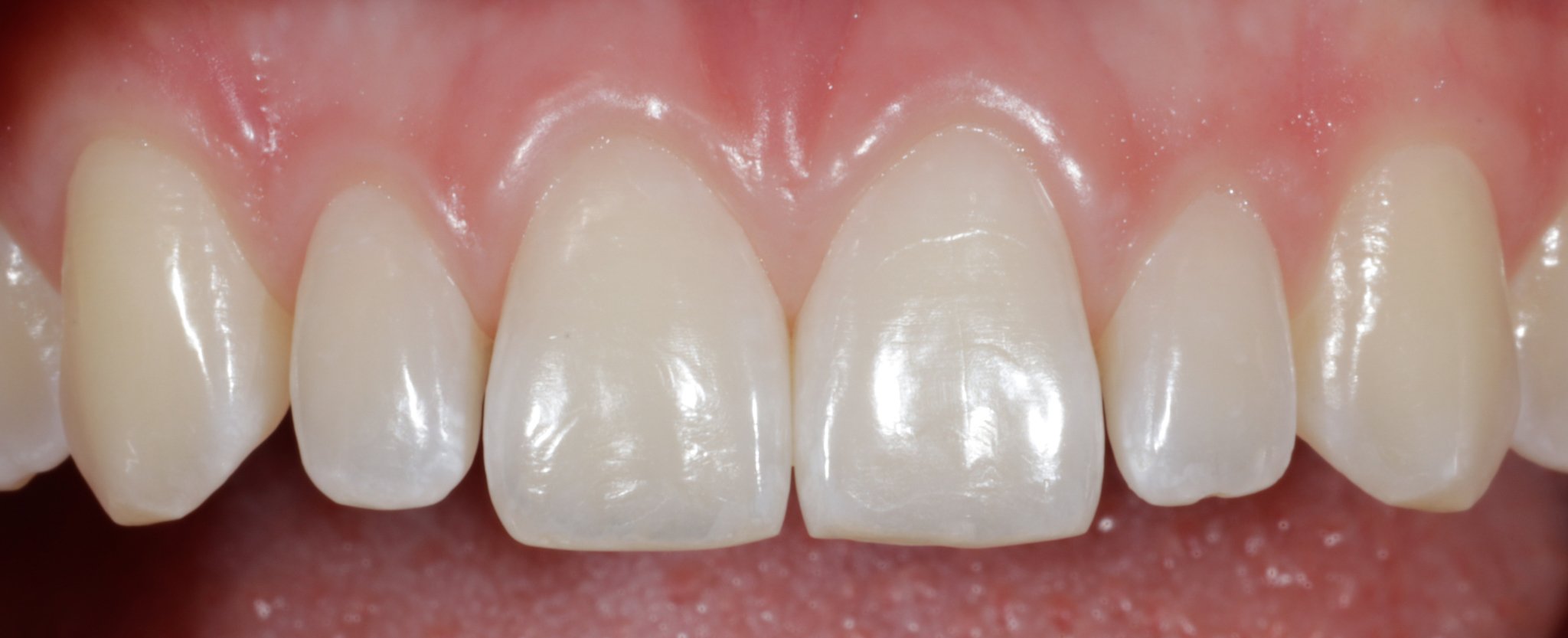
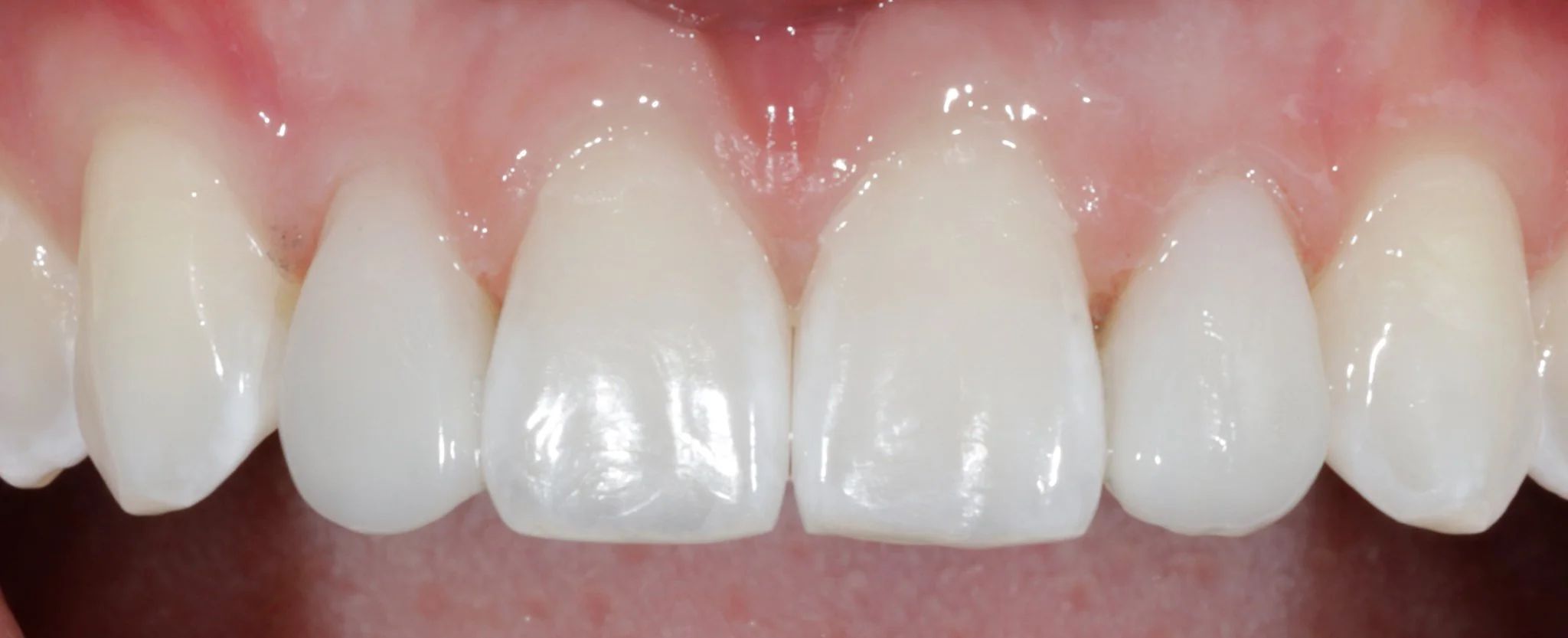
Veneers

Full or partial coverage restorations can aid in solving many cosmetic and functional dental concerns. Dr. Hancock uses exceptional dental materials to restore your teeth to optimize aesthetics, longevity and functionality.

Before After

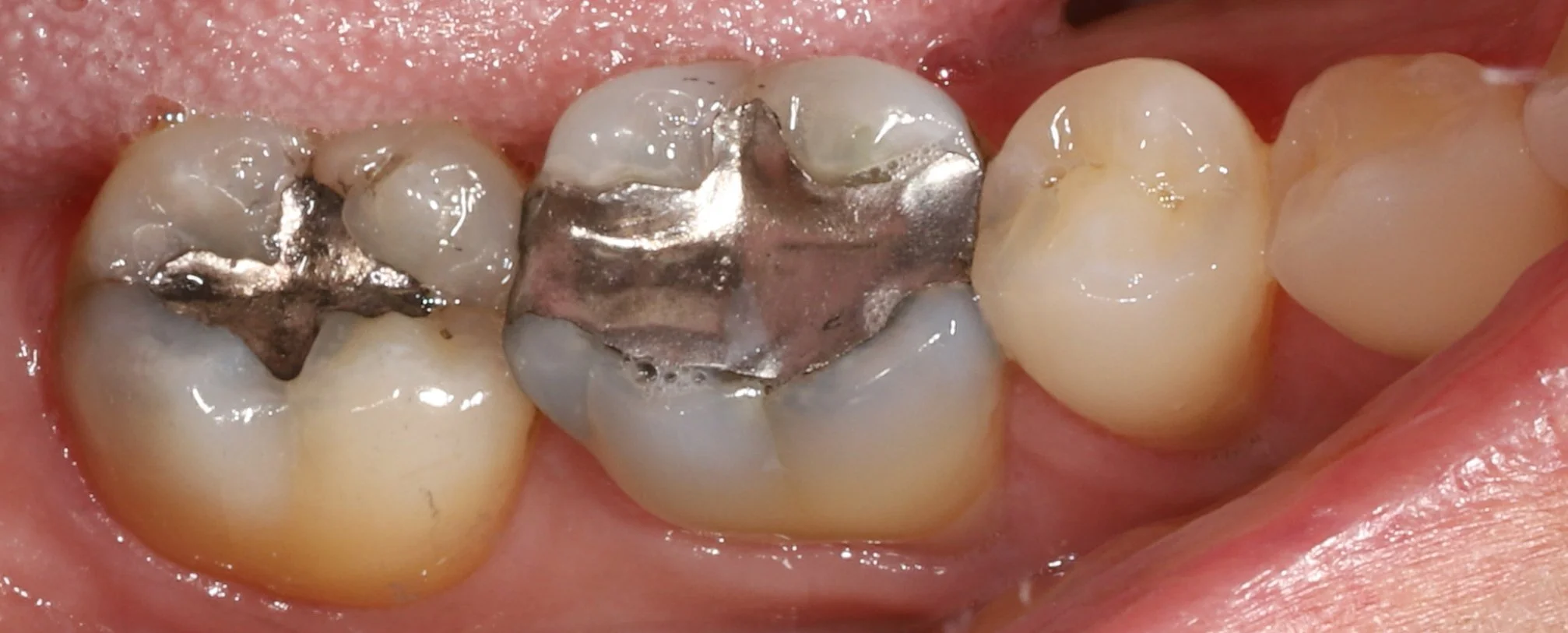
Crowns

Full or partial coverage restorations can aid in solving many cosmetic and functional dental concerns. Dr. Hancock uses exceptional dental materials to restore your teeth to optimize aesthetics, longevity and functionality.

Before After