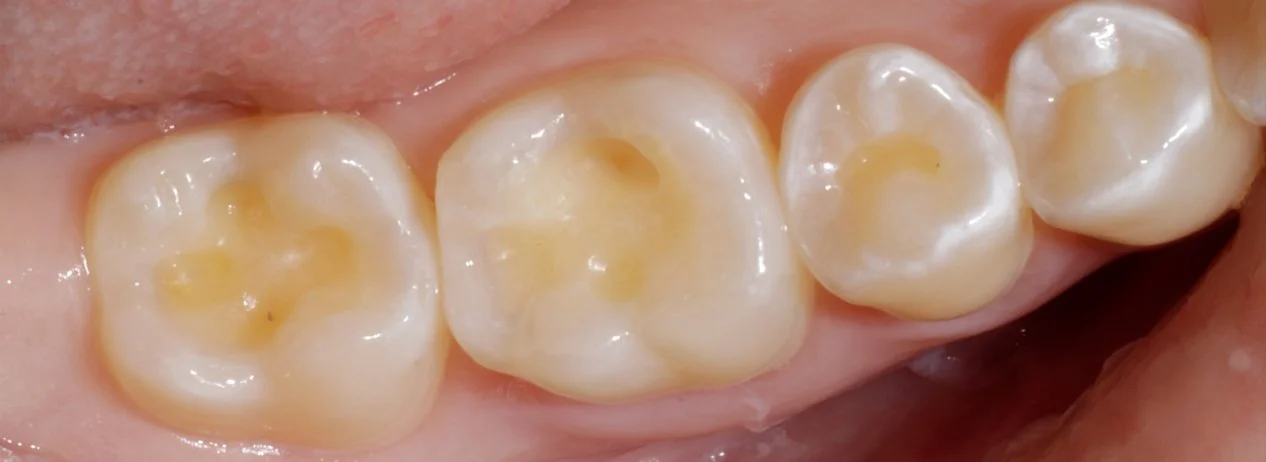
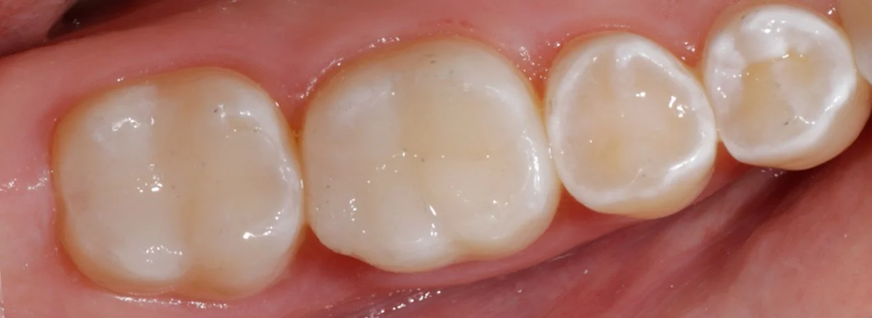
Composite Restoration
In the event that a filling may be needed to replace decayed or breaking down tooth structure, our practice meticulously selects material that blends well with your tooth and provides an aesthetic, comfortable result.
In the event that a filling may be needed to replace decayed or breaking down tooth structure, our practice meticulously selects material that blends well with your tooth and provides an aesthetic, comfortable result.